
Call me back
We’re Accepting New Patients!
Looking for a caring and professional dental practice? We’re excited to welcome new patients to our clinic! Whether you’re due for a check-up, need treatment, or are looking to enhance your smile, our friendly team is here to help.
Contact us today to book your first appointment—we look forward to meeting you!
- Home
- Treatments
- Restorative dentistry
- Crowns
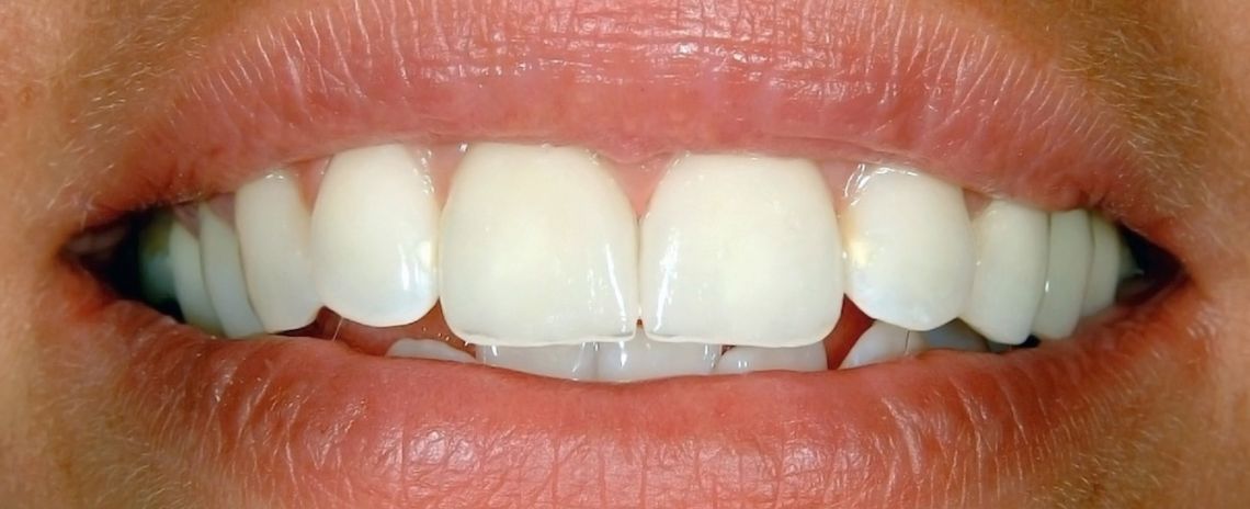
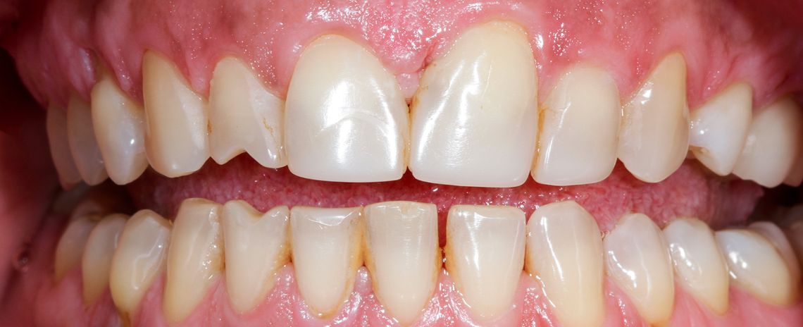
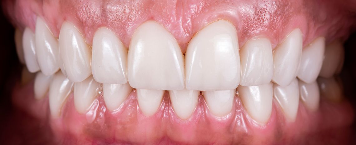
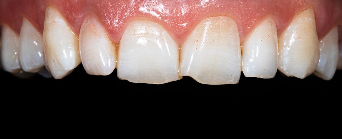
Crowns
Crowns are advised when it is necessary to protect, strengthen and restore teeth. They may also be used to cover discoloured or misshapen teeth to improve the overall appearance of your smile.
Available in a range of materials, our crowns permanently sit over the entire visible surface of your existing tooth and are made to look as real as your own natural tooth.
The procedure takes two appointments. At the first appointment, we minimally shape the tooth and place a temporary crown. About 14 days later at your second appointment, we remove the temporary crown, place your new crown and check the fit and your bite.
The crown can last for many years if good oral hygiene is maintained, depending on the condition of the original tooth. Additional care should be taken to keep the crown and surrounding area clean. Your St Anne's Dental Practice dentist or dental hygienist will recommend an appropriate home care regime.
Related pages
Before and after







People are talking about us
The biggest complement we receive is when our patients refer their friends and family to St Anne's Dental Practice. In fact, we have built much of our practice on these valued, trusted recommendations over the years. Read our reviews to hear why our patients are recommending us…
Patient reviews
759 Reviews
18th October 2025
Very satisfied that answers the question !
18th October 2025
I had a Warm, friendly,reassuring, calm dentist & dental nurse and staff were also welcoming.
15th October 2025
Highly professional, friendly staff. Extremely pleasant and clean environment. I did not feel rushed and felt that it was ok to ask questions.
13th October 2025
Adam and the team are always so welcoming and reassuring. they always have time for you and really care about you as an individual and not just another person!!Always received excellent service, support and advice
12th October 2025
Everyone friendly and efficient
9th October 2025
I don't always look forward to visiting the dentist as, being nearly 80 now, my past experiences as a child and teenager and beyond, my visits were always very painful with the old equipment etc. but of recent years and my visits to St.Annes, modern equipment and Adam I am much better and have been very satisfied with my treatment and experiences.
8th October 2025
My Clinician listened to the account of my problem, examined the offending tooth and took the necessary action, for which I had expressed a preference, and he was in agreement with my decision.
21st September 2025
Everyone from reception through to the dentist and assistant are so welcoming and friendly.
19th September 2025
Susan Brink is the best dentist I have ever had and my wife and sons feel the same way. She has a friendly, reassuring manner and always explains everything clearly, giving me a range of choices. I feel confident that I'm getting the best possible diagnosis.
18th September 2025
Excellent care,
17th September 2025
I’ve been a patient since 1992. I wish it was still National health. Adam and Chrissie are calm competent gentle and Rekha has fitted in to the team.
9th September 2025
Thorough, professional care delivered in a kind and friendly way.
7th September 2025
Super friendly, efficient, articulate and communicative, all with clear and reassuring expertise.
3rd September 2025
I first saw Anya the Hygenist and her professionalism was first class. She explained exactly what she proposed to do and the treatment was the best I have ever experienced. I then saw my dentist for a full check up and she even smoothed the surface of a couple of my front teeth. She and the Dental Nurse ( I hope I have that title correct if not I apologise) were absolutely brilliant. And the Receptionist was so cheerful and delightful. Wonderful experience all around! I cannot thank everyone enough for
3rd September 2025
Thorough, friendly - not pushy at all; but also focused on prevention of future problems.
2nd September 2025
It’s a nice atmosphere at the surgery. Everyone seems very efficient and friendly
30th August 2025
The team are always extremely helpful and efficient, always happy with my visits at St Annes
28th August 2025
Friendly and helpful
27th August 2025
I had toothache and was able to be seen between existing appointments, so that was great
27th August 2025
The dentist, not my usual one, was incredibly efficient and worked with nurse in a very professional manner completing the extraction quickly and painlessly and provided me with paperwork for my aftercare