Call me back

We’re Accepting New Patients!

Read More Next

Looking for a caring and professional dental practice? We’re excited to welcome new patients to our clinic! Whether you’re due for a check-up, need treatment, or are looking to enhance your smile, our friendly team is here to help.
Contact us today to book your first appointment—we look forward to meeting you!

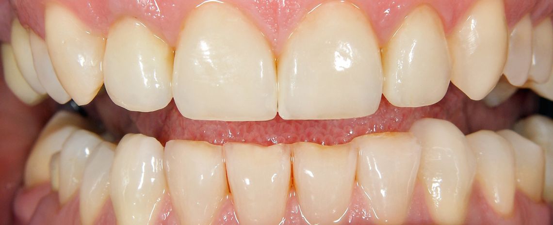
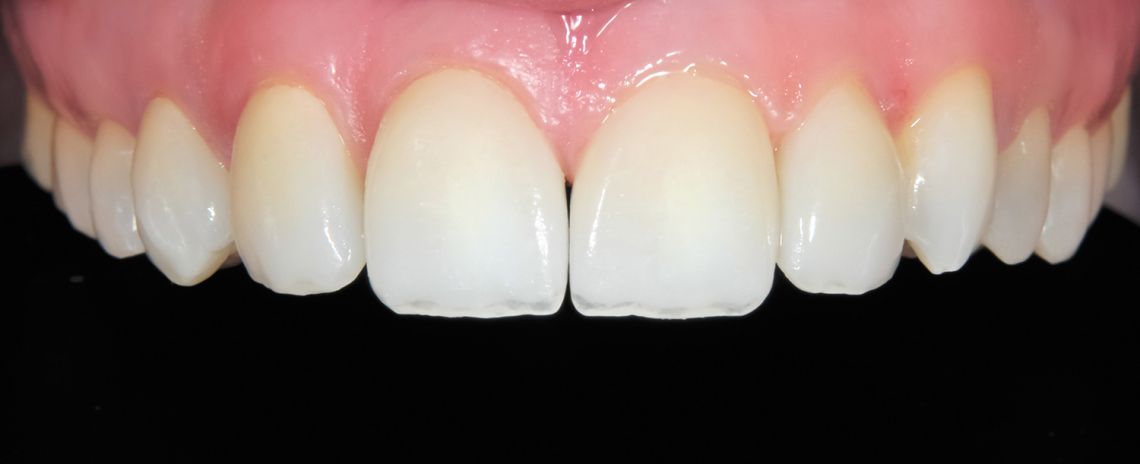
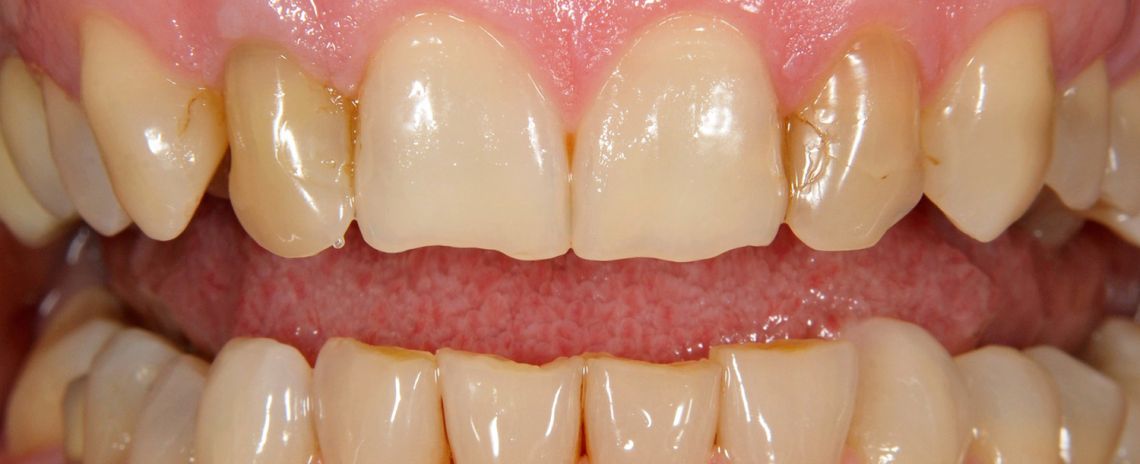
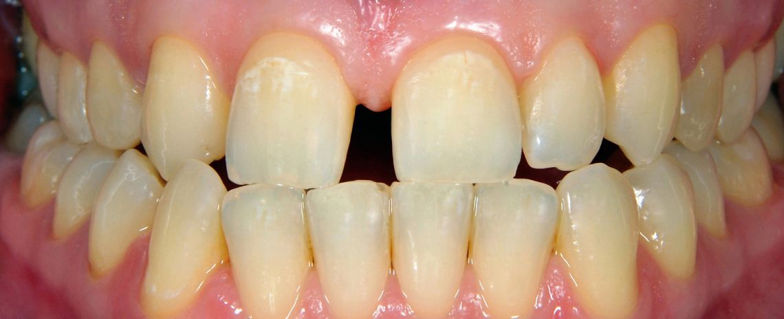
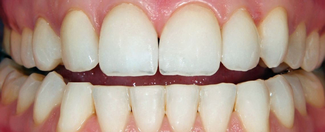
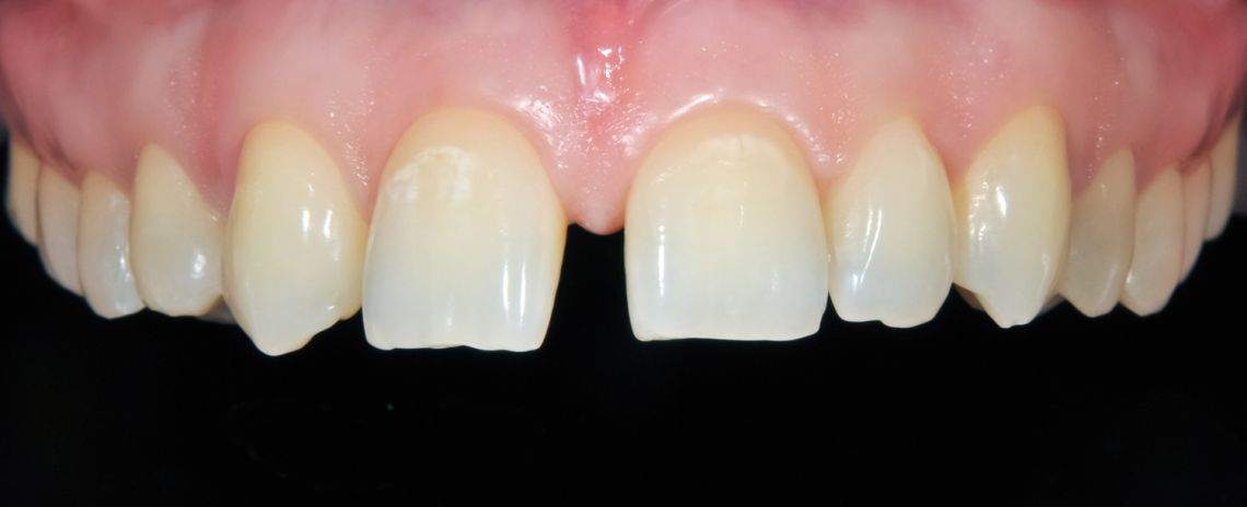
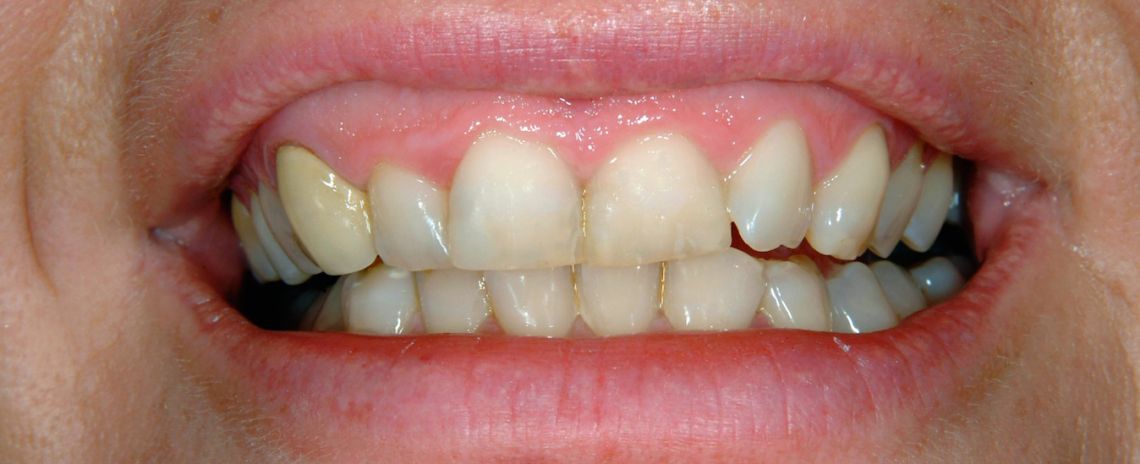
Boutique Teeth whitening

Whitening will not change the colour of your teeth completely but will lighten the shade, without removing any of the tooth surfaces. It is a safe procedure when carried out under professional supervision. Results last indefinitely. Just simply touch up your teeth with whitening gel every few years. Sometimes without a touch-up, your teeth will start to re-stain by the same things that caused them to discolour in the first place.

It may be necessary to have other dental treatments before whitening, as whitening treatments can only be applied to healthy teeth and gums. A visit to the dental hygienist is also recommended before whitening treatment, to give the teeth a thorough cleaning and remove any surface stains. Teeth whitening is not effective on dental restorations such as amalgam fillings, metal or porcelain crowns, etc.

At St Anne's Dental Practice, we use simple and safe home whitening systems. After checking your dental health, your dentist will take a digital scan of your teeth from which custom-made dental trays are crafted that fit snuggly to your teeth. Once your trays are ready, your dentist will give you a whitening gel and guide you on how to apply this at home, along with the required length of treatment to see your results. It may take between 3 days and a couple of weeks to see results, depending on your original discoloration and preferred shade.

Temporary sensitivity can affect some patients. If sensitivity is present, wear times should be shortened or made less frequent. Additionally, desensitizing toothpaste, gels, or mouthwashes can be used before or after the whitening process.

Call us on 01273 473189 to book a consultation and discuss your smile makeover options.

Your journey to a whiter, brighter smile starts here.


1 Check Up

Your dentist will examine your teeth and gums to make sure your teeth and gums are healthy.

2 Trays

Your digital scan or impression is sent to the laboratory where the technicians will precision manufacture whitening trays to fit your mouth very precisely.

3 Treatment

Collect your trays from your dentist and start using them at home with our whitening gels. In two to three weeks, you can unveil your beautiful new smile.

Home-Whitening
Patient Reviews

People are talking about us

The biggest complement we receive is when our patients refer their friends and family to St Anne's Dental Practice. In fact, we have built much of our practice on these valued, trusted recommendations over the years. Read our reviews to hear why our patients are recommending us…

Patient reviews

791 Reviews

5.0

22nd December 2025

Pleasant staff efficient and skilled.

21st December 2025

Everything in general was fine; but Susan Brink was an exceptionally kind and careful dentist, and made me feel in very safe hands.

18th December 2025

Emergency appointment. Seen quickly due to cancellation

18th December 2025

The service I received from the Hygienist and Dentist was professional, friendly and helpful for caring for my teeth

17th December 2025

My original hygiene appointment was cancelled by the hygienist, so I was treated by a lovely person who I had not seen previously. I was very impressed and happy after my treatment.

16th December 2025

The first class care from the clinician. The interest demonstrated by clinician and nurse in my overall welfare and the ease with which the appointment was arranged

12th December 2025

My dentist, Susan Brink, really listened to me and was most careful and gentle in the treatment. She is excellent as is the dental nurse.

6th December 2025

It was efficient and effective, leaving very clean teeth.

3rd December 2025

All went well, nice people and good service. Thanks!

28th November 2025

Anna was great at talking me through what she was doing and she is also very easy to talk to

28th November 2025

The best team, competent and kind.

27th November 2025

Yes, Great and friendly welcome by Jane on reception and a very short wait to be called in by Dr Susan and Jess, as I arrived early. And I was super-pleased that I was given a longer session to undertake some necessary fillings pertinent to my trip to my implant dentist the following day. So many Thanks.But it's not just the professional and expert dentistry, its always a pleasure to see Dr Susan and her team as they make a dental trip so much more than lying back and having your cavities filled, with joyous and happy atmosphere

27th November 2025

Friendly and professional staff. Positive atmosphere. Good, modern facilities.

26th November 2025

The staff were extremely courteous and pleasant, explaining what they were doing at each stage of the consultation. They explained all the options clearly and answered my questions.

25th November 2025

Courtesy, good humour! Up to time. Pleasant ambience.

23rd November 2025

Lovely staff

21st November 2025

Dentist very professional, kind and courteous. Explained things well. Was very attentive.

20th November 2025

Treatment done with care and consideration.

20th November 2025

Caring treatment fully explained.

19th November 2025

I had to re-schedule my hygienist appointment due to having a heavy cold. This was not a problem at all. I met with Hannah for the first time. She was so friendly and called me by my first name, which I think is so much nicer than Mrs……. She explained from the off what she was doing, from checking my gums to the scaling and even the noise that the scaler made. She then asked if I would like a new treatment offered by the surgery of ‘sand blasting’ the teeth. She took her time to explain what this would entail and how I would benefit from it. All the while during the treatment she asked me if I was ok and not in any discomfort. Hannah is lovely. She is courteous, friendly and very gentle. A totally different experience to my last hygienist appointment with a different member of staff who, I’m sorry to say, was quite rough and I suffered with sore gums for the following 2 weeks. I’ve made sure that my next hygienist appointment is with Hannah. She is the best I have had.

Prev Previous
Next Next