Call me back

We’re Accepting New Patients!

Read More Next

Looking for a caring and professional dental practice? We’re excited to welcome new patients to our clinic! Whether you’re due for a check-up, need treatment, or are looking to enhance your smile, our friendly team is here to help.
Contact us today to book your first appointment—we look forward to meeting you!

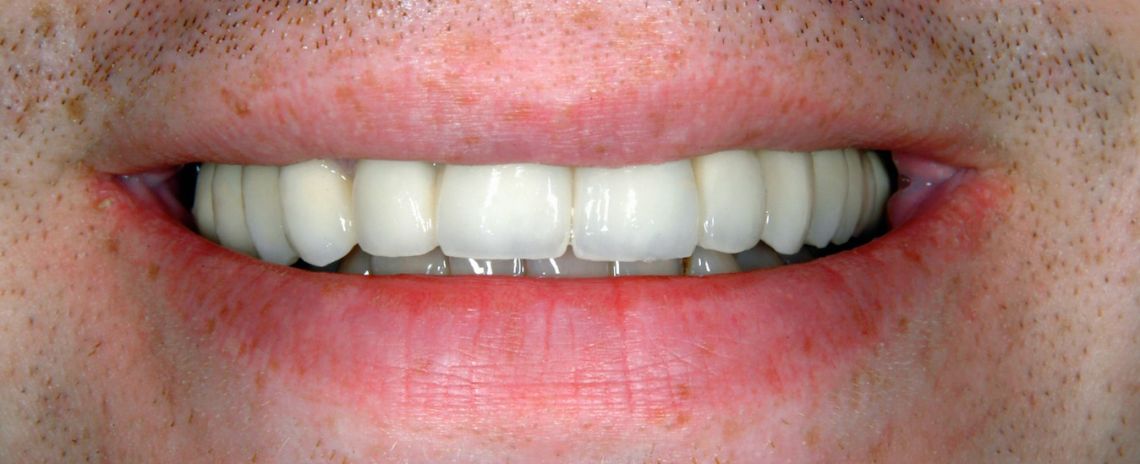
Dental implants

Serving patients throughout Lewes, Ringmer and Brighton

Dental implant treatment can change your life. Whether you’re replacing a single tooth, or a complete smile, dental implants offer secure teeth that feel just like your own, restoring both your smile and your quality of life.

Not only can implants recreate natural-looking teeth, but they also safeguard your overall dental health. Replacing missing teeth is extremely important, as missing teeth cause bone loss which will age your face and could potentially cause adjacent teeth to become loose too.

At St Anne's Dental Practice we can assist with all implant cases, from the simplest to the most complex. Our patients have the peace of mind that they can access progressive technology and benefit from a wealth of experience from our implant dentist, Georgios Prodromidis .

What is a dental implant?

Putting it simply, a dental implant is an artificial root made from titanium which is used to take the place of the original root, securely bonding with the jawbone over time. Once the new root has fully healed, which usually takes between 3 to 6 months, this is used to attach replacement teeth in place using crowns, a bridge or a denture. These replacement teeth are carefully crafted to ensure they match your natural teeth, leaving you with a beautiful, natural looking smile.

Types of implants

  • Single implant – implants can be used to replaces a single tooth, restoring your smile with a single implant and crown.
  • Multiple implants – if you have a gap from a few missing teeth, dental implants can be placed to securely fix a dental bridge in place.
  • Full smile restorations – If you are missing a full arch of teeth, or the full set, 4 to 8 implants can be placed to securely attach a denture. Anchoring dentures on dental implants ensure that they do not slip and are comfortable.

Why choose dental implants?

Crowns, bridges and dentures address the short-term cosmetic problem of missing teeth but do nothing to stop bone loss. Crown and bridge dentistry also requires grinding down healthy teeth leaving them at much greater risk for cavities and tooth failure. Dentures become uncomfortable and unstable over time as the jawbone shrinks causing eating and speech problems.

With dental implants, replacement teeth are securely anchored without compromising any neighbouring healthy teeth. Dental implants, like natural teeth, stimulate the jaw and stop bone loss.

Dental Implants Components

The benefits of implants

  • Implants look and feel just like natural teeth – you shouldn’t notice any difference.
  • Implants provide permanent stability and comfort without affecting healthy teeth.
  • Implants won’t come loose or fall out.
  • Implants can last for many years if you maintain good oral hygiene.
  • Implants prevent ageing bone loss, by stimulating your bone structure and stabilising the surrounding teeth.

Are you suitable for treatment?

Patients must have healthy gums and enough jawbone to support dental implants. At your initial consultation Georgios Prodromidis will use x-rays and scans to establish if pre-treatment is required and will explain this further.

Some patients may need to see a hygienist for a course of treatment to ensure their gums are strong and healthy before the dental implant process can begin. Georgios will also check that there is sufficient bone for an implant to be placed successfully at this initial consultation. If there is insufficient bone you may need to need pre-treatment before your dental implants can be placed. This may include oral surgery procedures such as bone grafting, bone expansion or sinus lifts.

Book a consultation with Georgios today to find out more about how dental implants could change your life!

Implant Dentist

Georgios Prodromidis

Dr George Prodromidis graduated from University of Athens (Greece) in 1997. In 1999 he was awarded with a scholarship from the States Scholarship Foundation, Athens, Greece. He proceeded with his first master’s degree in 1998 and completing it in 2001 when he was awarded with an MSc in Oral Pathobiology and clinical specialty in Oral Medicine. After his first Master’s degree he proceed...

Georgios Prodromidis
Patient Reviews

People are talking about us

The biggest complement we receive is when our patients refer their friends and family to St Anne's Dental Practice. In fact, we have built much of our practice on these valued, trusted recommendations over the years. Read our reviews to hear why our patients are recommending us…

Patient reviews

772 Reviews

5.0

19th November 2025

I had to re-schedule my hygienist appointment due to having a heavy cold. This was not a problem at all. I met with Hannah for the first time. She was so friendly and called me by my first name, which I think is so much nicer than Mrs……. She explained from the off what she was doing, from checking my gums to the scaling and even the noise that the scaler made. She then asked if I would like a new treatment offered by the surgery of ‘sand blasting’ the teeth. She took her time to explain what this would entail and how I would benefit from it. All the while during the treatment she asked me if I was ok and not in any discomfort. Hannah is lovely. She is courteous, friendly and very gentle. A totally different experience to my last hygienist appointment with a different member of staff who, I’m sorry to say, was quite rough and I suffered with sore gums for the following 2 weeks. I’ve made sure that my next hygienist appointment is with Hannah. She is the best I have had.

17th November 2025

Professional, caring and supportive

15th November 2025

The dentist is absolutely phenomenal both from a humane point of you but also especially from a professional standpoint. She is very knowledgeable and is happy to walk you through all the options. I had excellent after care attention too. Great experience with dental nurse likewise.

14th November 2025

Excellent service all round, especially with the care to my son.

12th November 2025

Always treated with courtesy and respect. A very friendly and relaxing experience with everything clearly explained.

5th November 2025

Mia was the third dentist I saw and she was brillant with me so patient and reassuring I am grateful that she prescribed me Antibiotics and I have begun to feel better. She looked properly in my mouth and saw a complication and she resolved it. I am truly grateful as things were deteriorating and I was becoming more unwell until she took charge thank you

5th November 2025

Close to home, friendly staff and helpful advice

4th November 2025

Everyone was highly professional and exceptionally helpful

4th November 2025

Hygienist very understanding of my sensitivity during teeth cleaning .Dentist explained the reason for tooth extraction and gave me time to make my decision. Understanding of my nervousness and I was treated with kindness and the procedure was carried out in such a way as to minimise my discomfort.

2nd November 2025

Everything at St. Annes is efficient professional and friendly.

1st November 2025

Efficiency,friendliness,understanding,welcoming reception

29th October 2025

Thorough, professional and friendly

21st October 2025

Dentist, dental nurse and hygienist are all very friendly which puts you at ease. They also explain things in detail which I appreciate.

18th October 2025

Very satisfied that answers the question !

18th October 2025

I had a Warm, friendly,reassuring, calm dentist & dental nurse and staff were also welcoming.

15th October 2025

Highly professional, friendly staff. Extremely pleasant and clean environment. I did not feel rushed and felt that it was ok to ask questions.

13th October 2025

Adam and the team are always so welcoming and reassuring. they always have time for you and really care about you as an individual and not just another person!!Always received excellent service, support and advice

12th October 2025

Everyone friendly and efficient

9th October 2025

I don't always look forward to visiting the dentist as, being nearly 80 now, my past experiences as a child and teenager and beyond, my visits were always very painful with the old equipment etc. but of recent years and my visits to St.Annes, modern equipment and Adam I am much better and have been very satisfied with my treatment and experiences.

8th October 2025

My Clinician listened to the account of my problem, examined the offending tooth and took the necessary action, for which I had expressed a preference, and he was in agreement with my decision.

Prev Previous
Next Next

Why choose us?

Multi Award Winning

Multi Award
Winning

Five Star Customer Service

Five Star
Customer Service

Invisalign Provider

Invisalign
Provider

State Of The Art Facilities

State Of The
Art Facilities

Leading Dental Care

Leading
Dental Care