Call me back

We’re Accepting New Patients!

Read More Next

Looking for a caring and professional dental practice? We’re excited to welcome new patients to our clinic! Whether you’re due for a check-up, need treatment, or are looking to enhance your smile, our friendly team is here to help.
Contact us today to book your first appointment—we look forward to meeting you!

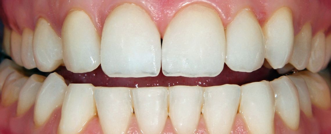
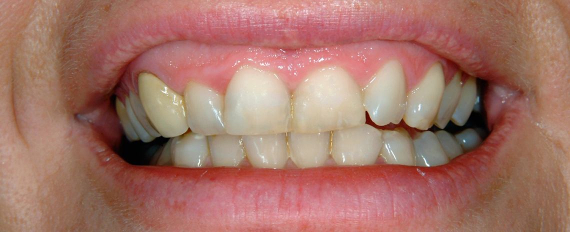
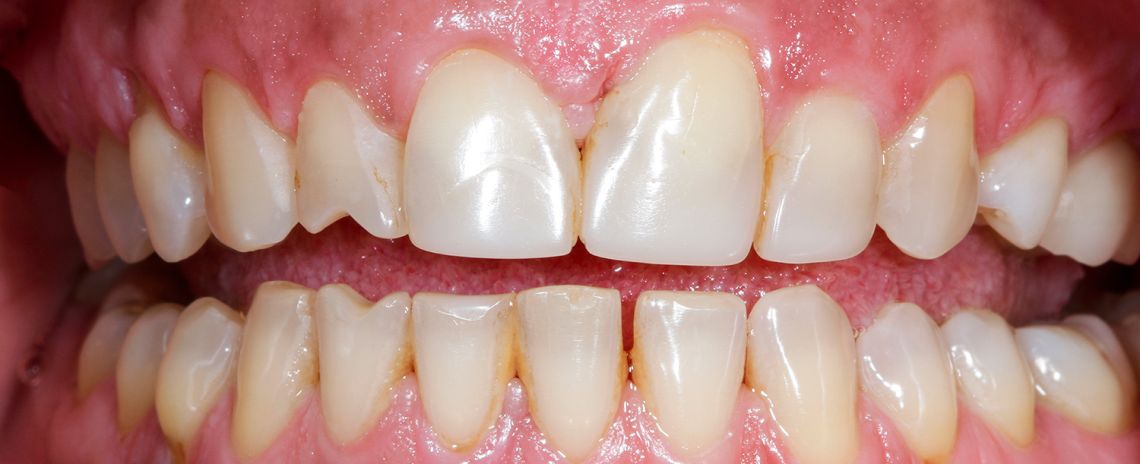
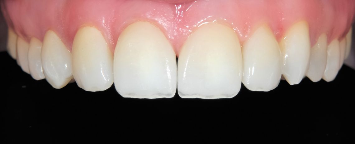
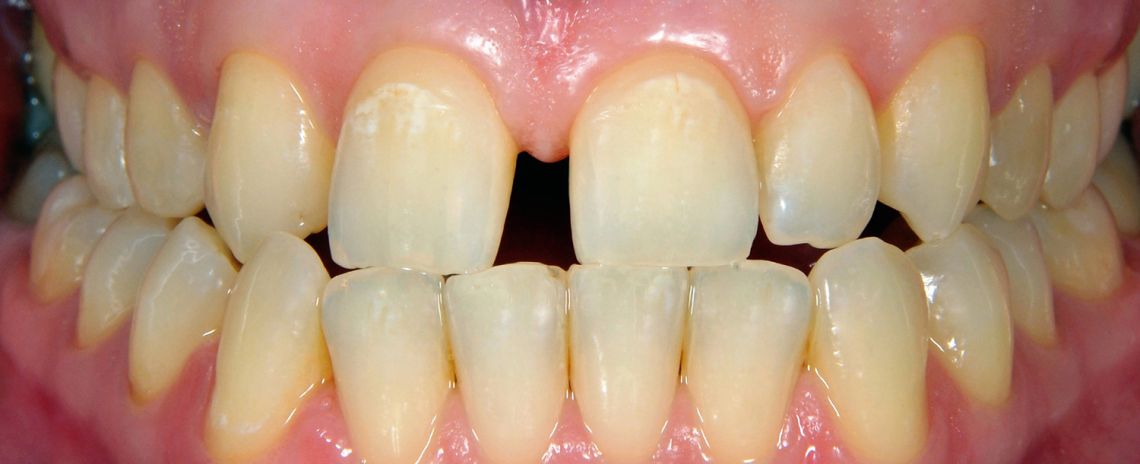
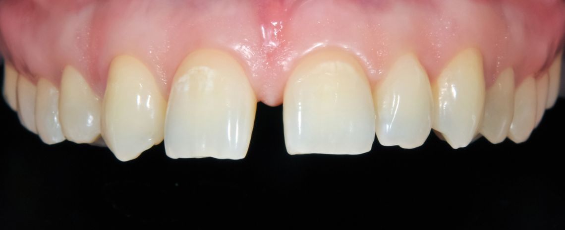
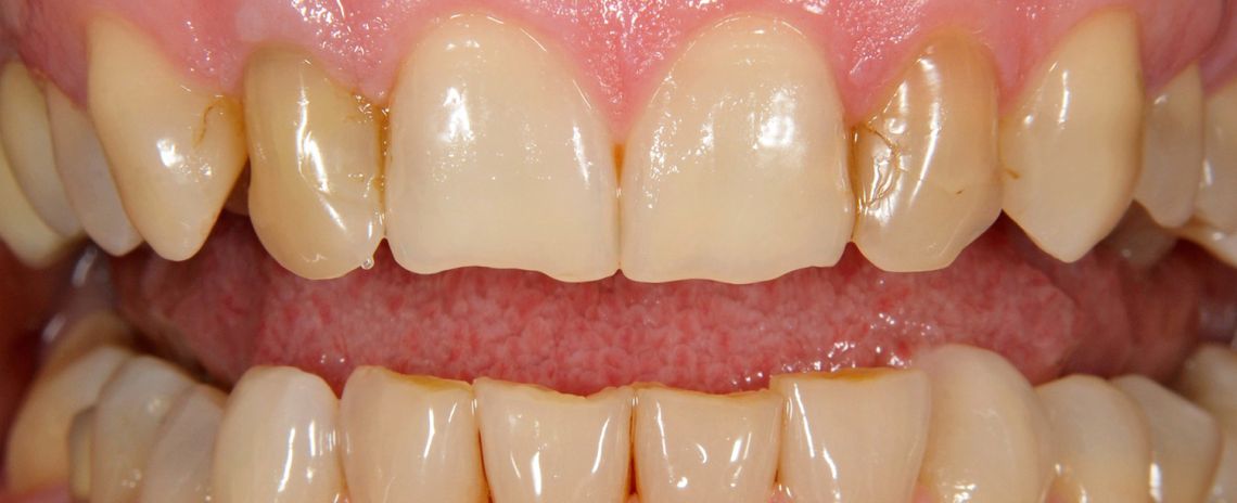
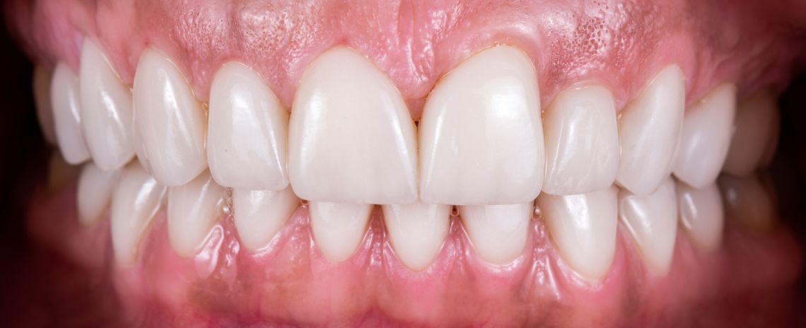
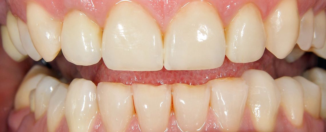
Veneers

A veneer is a thin, custom-made shell that is used to cover the front surface of a tooth, usually made from porcelain. They look natural and healthy, and can improve the colour, shape and position of your teeth. They can hide stained, chipped, mis-shaped or crooked teeth, or cover gaps in teeth where orthodontic treatment may not be suitable.

At St Anne's Dental Practice we use only the best materials and quality ceramic laboratories that have been tried and tested by thousands of patients. The procedure takes two appointments. At the first appointment, we shape your teeth as carefully and conservatively as possible and take a mould of the teeth to be veneered. Hand crafted temporary veneers are then placed on your teeth whilst your final veneers are being made. This allows you to ‘trial’ your new smile so that you can experience how your new smile will look and feel. If you want any changes to the shape or size at this stage, we can make adjustments so that you’re completely satisfied.

Once the veneers are ready, the temporary veneer is removed at your second appointment, and the permanent one fitted. Your St Anne's Dental Practice dentist will check the fit to ensure a correct bite and check your comfort, before securing in place.

Call us on 01273 473189 to book a consultation and discuss your smile makeover options.

Meet the team

Adam Cuthbertson

Dentist

GDC NO. 251473

Susan Brink

Dentist

GDC NO. 70205

Tara Healy

Dentist

GDC NO. 244557

Previous
Next
Patient Reviews

People are talking about us

The biggest complement we receive is when our patients refer their friends and family to St Anne's Dental Practice. In fact, we have built much of our practice on these valued, trusted recommendations over the years. Read our reviews to hear why our patients are recommending us…

Patient reviews

782 Reviews

5.0

28th November 2025

Anna was great at talking me through what she was doing and she is also very easy to talk to

28th November 2025

The best team, competent and kind.

27th November 2025

Yes, Great and friendly welcome by Jane on reception and a very short wait to be called in by Dr Susan and Jess, as I arrived early. And I was super-pleased that I was given a longer session to undertake some necessary fillings pertinent to my trip to my implant dentist the following day. So many Thanks.But it's not just the professional and expert dentistry, its always a pleasure to see Dr Susan and her team as they make a dental trip so much more than lying back and having your cavities filled, with joyous and happy atmosphere

27th November 2025

Friendly and professional staff. Positive atmosphere. Good, modern facilities.

26th November 2025

The staff were extremely courteous and pleasant, explaining what they were doing at each stage of the consultation. They explained all the options clearly and answered my questions.

25th November 2025

Courtesy, good humour! Up to time. Pleasant ambience.

23rd November 2025

Lovely staff

21st November 2025

Dentist very professional, kind and courteous. Explained things well. Was very attentive.

20th November 2025

Treatment done with care and consideration.

20th November 2025

Caring treatment fully explained.

19th November 2025

I had to re-schedule my hygienist appointment due to having a heavy cold. This was not a problem at all. I met with Hannah for the first time. She was so friendly and called me by my first name, which I think is so much nicer than Mrs……. She explained from the off what she was doing, from checking my gums to the scaling and even the noise that the scaler made. She then asked if I would like a new treatment offered by the surgery of ‘sand blasting’ the teeth. She took her time to explain what this would entail and how I would benefit from it. All the while during the treatment she asked me if I was ok and not in any discomfort. Hannah is lovely. She is courteous, friendly and very gentle. A totally different experience to my last hygienist appointment with a different member of staff who, I’m sorry to say, was quite rough and I suffered with sore gums for the following 2 weeks. I’ve made sure that my next hygienist appointment is with Hannah. She is the best I have had.

17th November 2025

Professional, caring and supportive

15th November 2025

The dentist is absolutely phenomenal both from a humane point of you but also especially from a professional standpoint. She is very knowledgeable and is happy to walk you through all the options. I had excellent after care attention too. Great experience with dental nurse likewise.

14th November 2025

Excellent service all round, especially with the care to my son.

12th November 2025

Always treated with courtesy and respect. A very friendly and relaxing experience with everything clearly explained.

5th November 2025

Mia was the third dentist I saw and she was brillant with me so patient and reassuring I am grateful that she prescribed me Antibiotics and I have begun to feel better. She looked properly in my mouth and saw a complication and she resolved it. I am truly grateful as things were deteriorating and I was becoming more unwell until she took charge thank you

5th November 2025

Close to home, friendly staff and helpful advice

4th November 2025

Everyone was highly professional and exceptionally helpful

4th November 2025

Hygienist very understanding of my sensitivity during teeth cleaning .Dentist explained the reason for tooth extraction and gave me time to make my decision. Understanding of my nervousness and I was treated with kindness and the procedure was carried out in such a way as to minimise my discomfort.

2nd November 2025

Everything at St. Annes is efficient professional and friendly.

Prev Previous
Next Next